- Активность
- 8
Здравствуйте, мне 39лет. Упала 27ноября2015г. На R- снимке за 27.11.15.и 22.12.15. костных травм, повреждений не выявлено. В лангете проходила 2 недели, 24декабря выписали на работу(на одной ноге прыгала), боль сохранялась в левой стопе, наступать на стопу не могла.
6 января на МРТ выявили перелом (фото№ 1).
Заключение: МР-признаки перелома заднего края большеберцовой кости; МР-признаки артрозных проявлений в левом голеностопном тарано-ладьевидном и таранно- пяточном суставах.
26января на КТ заключение: несросшийся перелом заднего края большеберцовой кости левого голеностопа.
7-8февраля- увеличение опорной нагрузки на левую ногу. Вышла на работу. Но опять от сильной боли упала на эту же ногу, боль в области перелома, надрыв ахиллова сухожилия.
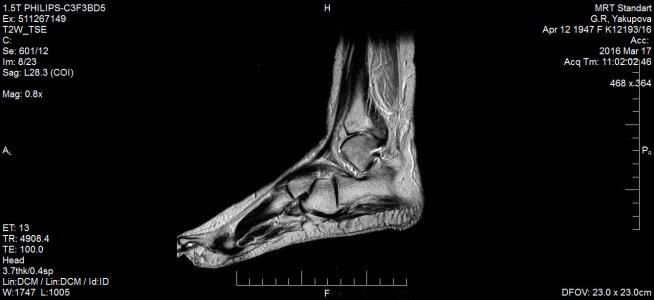
16 марта МРТ заключение: МР- картина консолидирующегося краевого косого перелома дорзальных отделов медиальной лодыжки /без смещения - перелом пилона тип В1 по АО/; остеоартроза голеностопного сустава и стопы: минимального синовита голеностопного сустава. Признаки отека мягких тканей области голеностопного сустава. (фото № 2)
В итоге прошло 5 месяцев, не срастается перелом, ходить не может.
На момент осмотра передвигается с опорой на костыли, неполная опора на левую ногу. Умеренный гипотонус ахиллова сухожилия с сохранением функций, нелокализованная болезненность у задней поверхности голеностопного сустава, отек невыраженный. Ощущает боль в области пятки.
Отдельно прилагаются фото МРТ, КТ, рентгенография.








6 января на МРТ выявили перелом (фото№ 1).
Заключение: МР-признаки перелома заднего края большеберцовой кости; МР-признаки артрозных проявлений в левом голеностопном тарано-ладьевидном и таранно- пяточном суставах.
26января на КТ заключение: несросшийся перелом заднего края большеберцовой кости левого голеностопа.
7-8февраля- увеличение опорной нагрузки на левую ногу. Вышла на работу. Но опять от сильной боли упала на эту же ногу, боль в области перелома, надрыв ахиллова сухожилия.
16 марта МРТ заключение: МР- картина консолидирующегося краевого косого перелома дорзальных отделов медиальной лодыжки /без смещения - перелом пилона тип В1 по АО/; остеоартроза голеностопного сустава и стопы: минимального синовита голеностопного сустава. Признаки отека мягких тканей области голеностопного сустава. (фото № 2)
В итоге прошло 5 месяцев, не срастается перелом, ходить не может.
На момент осмотра передвигается с опорой на костыли, неполная опора на левую ногу. Умеренный гипотонус ахиллова сухожилия с сохранением функций, нелокализованная болезненность у задней поверхности голеностопного сустава, отек невыраженный. Ощущает боль в области пятки.
Отдельно прилагаются фото МРТ, КТ, рентгенография.








